Disposable Puncture Needle
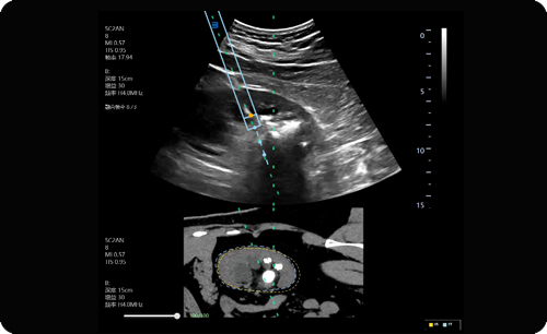
Enhanced needle visualization in 2D, to avoid unintended injury.
For puncturing tissue to establish access.