· 让微创介入手术,拥有更直观的器官呈现。
· 让手术通道建立,可达更低风险和损伤。
· 让介入手术效率,更高效卓越。

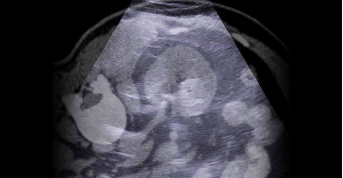
超声与CT/MRI影像实时融合
更清晰直观展现人体解剖结构

基于AI配准的多模态影像2D-3D联动
更精准的实时呈现病灶位置

AI辅助针尖动态识别
精准引导建立手术通道

高速智能分割及定标
提高手术效率和医院效益

全域聚焦技术 支持全场高分辨率
更清晰的影像质量

超宽触屏,一目了然
支持戴手套多点触控操作
患者信息一键导入


全方位易于清洁消毒的整机设计
探头全密封设计更易清洁消毒
功能模块一体化,维护更简单
模块固定化,性能更稳定


以超声为基础的影像融合
无CT、DSA等X光辐射